直径10厘米,如“大橙子”!苏大附二院甲乳外科成功为患者切除胸骨后巨大甲状腺肿块
{{sourceReset(detailData.source)}}{{dynamicData.sub_info.subject_name}} 紫牛新闻
{{wholeTimeFilter(detailData.happen_time)}} {{numFilter(detailData.review_count)}}次阅读
{{numFilter(detailData.review_count)}}次阅读
“这个肿块十年前就有了,但当时并未重视,近期肿块越来越大,开始影响正常生活了......”近日,苏州大学附属第二医院甲乳外科专家蒋国勤和他的团队,成功为来自泰州的曹女士切除胸骨后巨大甲状腺肿块,帮助她卸下了多年的“负担”。
据了解,65岁的曹女士是一位来自泰州的胸骨后巨大甲状腺肿患者,早在10年前就在颈部摸到了肿块,但当时并未重视,近期肿块越来越大,逐渐出现了呼吸困难和吞咽不适的症状。在当地医院检查发现肿块已经超过10cm、并且长到了胸骨后方。由于胸骨后甲状腺肿的手术难度大、风险高、并发症多,患者及家属多方打听后,来到苏大附二院甲乳外科就诊。
![]()
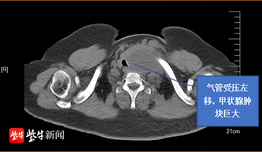
经进一步完善检查发现,曹女士左侧甲状腺肿造成了气管明显受压变窄,狭窄部位气管直径仅有10-11mm,属于困难气道患者。该院甲乳外科主任医师蒋国勤告诉记者,甲状腺和胸骨后方供血丰富,术中分离肿块时一旦操作不慎,易伤及组织和血管,造成术中大出血,手术风险极高。
患者的病情刻不容缓,蒋国勤专家团队制定缜密应对方案。杨志学副主任医师在蒋国勤主任的指导下,凭借丰富的手术经验,在完好保留患者的喉返神经及甲状旁腺后,最终成功剥离橙子般大小的甲状腺肿块。
术后,曹女士在甲乳外科医护团队的照顾下恢复非常快,声音未出现嘶哑,也并未出现甲状旁腺机能低下导致的低钙症状。术后第4天便拔除引流管出院,恢复了正常生活。
蒋国勤提醒,胸骨后甲状腺肿因为其易对气管及食管造成压迫,如发生囊内急性出血更容易出现急性呼吸道梗阻从而危及生命,因此一经诊断均需手术治疗。目前我国已将甲状腺检查列为健康筛查项目,建议大家定期行甲状腺常规筛查,便于及时发现甲状腺结节病变,做到早发现、早诊断、早治疗。
扬子晚报/紫牛新闻见习记者 张添翼
校对 盛媛媛
编辑 : 陶善工
更多内容请打开紫牛新闻, 或点击链接

