数颗牙坏一片,这种猛性龋多见于青少年!还常与这个坏习惯有关 |扬子懂健康
{{sourceReset(detailData.source)}}{{dynamicData.sub_info.subject_name}} 紫牛新闻
{{wholeTimeFilter(detailData.happen_time)}} {{numFilter(detailData.review_count)}}次阅读
{{numFilter(detailData.review_count)}}次阅读
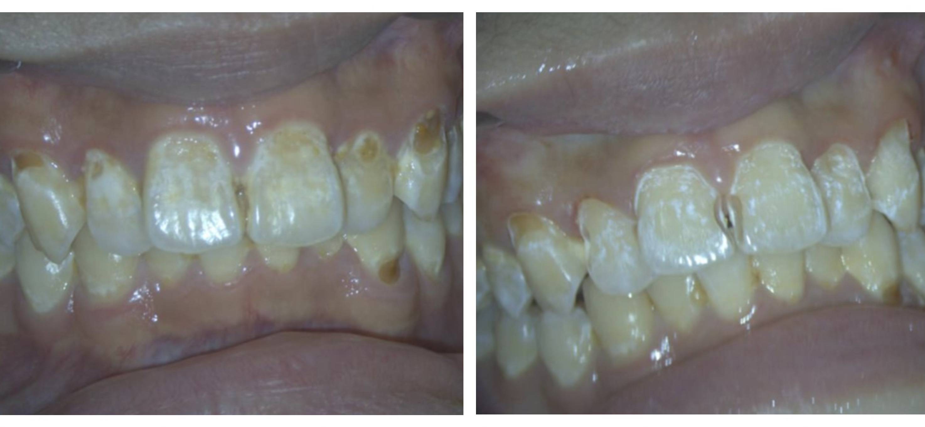
“孩子前面牙齿黄一块、白一块,看着也不像一般的蛀牙,不知道怎么回事?”近日,13岁的小飞(化姓)在家人的陪同下前往东南大学附属中大医院口腔科就诊。陈耀忠主任检查发现,患者前牙唇面颈部已经出现不同程度的龋坏、白垩色斑块等脱矿改变,病变范围广,累及牙齿多,确诊为猛性龋。问诊中发现,小飞还是饮料“酷爱”者。
![]()
多颗牙齿龋坏
其家人无奈表示,孩子平时不是喝可乐、果汁等含糖饮料,就是喝酸奶、牛奶,几乎很少喝白开水。“可乐、果汁等饮料中富含糖及酸,口腔中的细菌可以利用粘附于牙齿表面的糖产酸,从而造成溶解牙齿中的钙、磷,造成牙齿脱矿、龋坏。”陈主任一边解释,一边为患者去除龋坏组织,经过酸蚀、树脂充填、精修抛光等治疗,小飞的“门面”终于亮堂了。万幸的是,因为发现得早,并未龋坏到牙髓。
猛性龋(又称猖獗龋、放射性龋)是一种特殊类型的急性龋病,通常6-12个月内即可导致全口多数牙齿脱矿、龋洞形成,甚至仅剩残根。近年来,临床上青少年患有猛性龋越发常见,陈耀忠介绍说:“这些孩子龋齿情况有轻有重,但共同的特点就是引起龋坏或脱矿的牙齿数目多,不是单颗牙齿,而是数颗;其次,前牙唇面较重。”
一坏坏一片,青少年前牙唇面为何成“重灾区”?专家指出,一是唾液冲刷不足:相较于前牙唇,舌面由于下颌下腺及舌下腺等唾液腺的开口于此,后牙有腮腺导管开口,均能受到唾液的冲刷作用,龋坏相对较轻;二是自洁作用弱,唇面颈部是牙齿清洁盲区,口唇运动难以彻底清除此处菌斑,易于食物、细菌等滞留,造成龋坏。
此外,还与牙齿发育特点相关,“青少年恒牙刚萌出,牙釉质矿化不完全,抗酸能力本身较弱,龋病进展更快;另外牙釉质较薄,易被酸蚀穿透,形成环状龋(牙颈部一圈脱矿或龋坏)。”陈耀忠说,“不得不提的是,由于青少年爱喝饮料等不良习惯,也进一步加剧龋坏的发生。”
预防的关键在于饮食和口腔清洁,专家建议,青少年应避免频繁饮用可乐等,若饮用后,建议用清水漱口,减少糖分残留;正确刷牙,可采用巴氏刷牙法、配合牙线或冲牙器清洁邻面,能有效降低菌斑积聚;每半年口腔检查一次,发现白垩斑或早期龋及时干预,避免发展为猛性龋,“一旦确诊猛性龋,尽早治疗。”陈主任说,轻度患者可通过氟保护漆等药物控制龋损,配合再矿化治疗修复。而较严重者则需去腐充填或预成冠修复,若病变接近牙髓,可能需根管治疗等。
扬子晚报/紫牛新闻记者 王梦航
校对 盛媛媛
编辑 : 潘政
更多内容请打开紫牛新闻, 或点击链接

